
대웅제약은 박귀영 중앙대학교병원 교수, 윤춘식 예미원피부과 원장 등으로 구성된 연구팀이 지방파괴주사제 브이올렛의 주성분인 데옥시콜산(DCA)의 팔뚝살 지방분해 효과를 국내 최초로 입증한 연구 결과를 발표했다고 19일 밝혔다. 해당 논문은 미국 SCIE급 학술지 '미용피부과학 저널(Journal of Cosmetic Dermatology)'에 게재됐다.
브이올렛은 대웅제약이 2021년 출시한 국산 1호 지방파괴주사제로, 주성분인 데옥시콜산은 지방세포를 파괴해 숫자를 줄이는 기전을 지닌다. 이는 지방세포의 크기만 줄여 일시적 효과에 그치는 기존 지방분해제제와 달리 반영구적 효과를 기대할 수 있으며, 동시에 콜라겐 합성을 유도해 피부 탄력 유지와 개선에도 도움이 된다.
이번 연구는 기존에 주로 턱밑 시술에 사용되던 데옥시콜산을 상완 후면, 즉 팔뚝살에 적용했을 때의 지방 감소 효과를 한국인 대상 임상을 통해 확인한 첫 사례다. 브이올렛의 팔뚝 시술 활용 가능성을 입증한 데 의의가 크다.
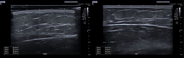
연구팀은 브이올렛 5㎎/㎖, 2.5㎎/㎖를 팔뚝 부위에 8주간 3차례 시술하고 20주간 관찰한 결과, 피하지방 두께가 각각 평균 7.49㎜, 4.68㎜ 감소했다고 밝혔다. 상완 팔둘레 길이 역시 20주 시점에 각각 평균 1.55㎜, 1.1㎜ 감소한 것으로 나타났다.
또 연구는 데옥시콜산을 희석해 시술하는 방식을 제안했다는 점에서도 주목된다. 연구팀은 멸균 생리식염수를 사용해 브이올렛 주사제를 5㎎/㎖(1:1 희석), 2.5㎎/㎖(1:3 희석)로 조정해 시술했으며, 이에 따라 환자가 느낀 통증 수치를 나타내는 시각아날로그척도(VAS) 점수는 각각 평균 5.7점, 2.3점으로 나타났다. 농도가 낮을수록 통증이 줄어드는 경향도 확인됐다.
연구를 주도한 박귀영 중앙대학교병원 교수는 "이번 연구는 브이올렛을 턱밑이 아닌 상완 부위에 적용한 최초의 연구이자, 다양한 시술 농도에 따라 피하지방 감소 효과와 통증 반응까지 분석했다는 점에서 임상적 의의가 크다"며 "효과는 유지하면서도 통증을 줄일 수 있는 희석 시술 방식이 제시됨으로써, 더 넓은 부위에 대한 브이올렛의 임상적 활용 가능성이 열렸다"고 평가했다.
한편 브이올렛은 국내 시장점유율 1위 지방파괴주사제로, 지방세포 영구 파괴와 장기 지속 효과라는 특장점을 바탕으로 시장을 주도하고 있다. 국내 데옥시콜산 성분 제품 중 유일하게 시판 후 조사를 진행했으며, 총 4건의 임상 연구에서 960명 이상의 한국인을 대상으로 효과와 안전성을 입증했다.

